It’s been three years since Keith Murphy and Jeffrey Miner joined forces to create the biotechnology company Viscient Biosciences. In 2017, the co-founders had recently left their previous successful enterprises and were looking to continue working in the field of biotech and pharma, seeking to contribute their know-how to drug discovery. Thanks to their expertise, innovative strategy, and vision, they began tackling a big industry by tentatively trying something different: using bioprinted tissue instead of animals to model disease for drug research and discovery.
During an interview with 3DPrint.com, Murphy discussed the potential success of the company’s developments as well as everything that he hopes to accomplish for the future. At Viscient, founding partners Miner and Murphy became interested in driving drug discovery in a previously unavailable context. Viscient’s CEO, Murphy was also co-founder of pioneer bioprinting firm Organovo and was its CEO and Chairman from 2007 until 2017.
After Murphy left Organovo, he began working with Miner, who had just left Ardea Biosciences after a successful buyout by Astra Zeneca for 1.2 billion dollars. During that time, the co-founders were interested in the potential capabilities of using bioprinted models instead of animal ones to predict disease. The core idea for Viscient was to develop tissue that would better represent the native environment for human biology in a way that researchers could use for drug discovery. Murphy considered that the traditional reliance on animal models of disease today often leads to clinical trial failures due to species differences that prevent accurately reproducing human disease. Further inquiry into the specifics of why clinical trials fail where animal models didn’t lead him to understand that they needed to focus on a human-friendly approach.
“For a long time, animal models have been very productive because there are a lot of things that are similar between animals and humans and researchers did a great job of finding those areas that could help us learn,” said Murphy. “Yet, what drives the failures in clinical trial settings is often the difference between animals and humans. Not everything that works in animals works on humans.”
That is why San Diego-based Viscient is working at the intersection of human 3D tissue technology and multi-omics (that is genomics, transcriptomics, metabolomics) analysis to discover and develop drugs across a range of therapeutic areas with a significant unmet medical need, leaving behind animal models.
Miner and Murphy put together a team of scientists that had worked for Ardea during the discovery of the company’s main drug candidate, lesinurad, for the treatment of gout and hyperuricemia, as well as a research contract with Organovo to use its bioprinting tech, they moved forward with their plan. Since then, Viscient has built up the capacity to carry out the research themselves, as well as developing their own internal biprinting and other 3D biology capabilities to the point where they have a fully capable platform for discovery and development of drugs.
Viscient has progressively moved forward using 3D liver tissue to discover drug opportunities for very persistent and expanding fatty liver diseases called non-alcoholic fatty liver disease (NAFLD) and non-alcoholic steatohepatitis (NASH).
“During the last two years, we have been working with NASH, taking the disease out of a patient’s body, and showing that we can accurately reproduce it. As the next step, we used tools to look at what genes are turned on and off in a bioprinted healthy tissue versus a diseased one. So that at this stage we know which genes are turned on, those are all potential targets that could help us eventually develop a drug.
“The next step after that was to make tissues and attempt to knock those target genes down, and by doing that we have identified a set of validated novel drug targets for fatty liver disease. When we block the gene that is causing the disease, we see the fibrosis go down in the 3D model, which means we have found a way to potentially treat that disease, and the next step is to find a drug that can block the effects of that gene in a patient.”
Indeed, today Viscient is looking at things such as fatty liver disease. Murphy considered that the results have been consistent with the expectation since their findings using bioprinted tissue are naturally different from the animal models, which is why nobody else is finding them. He claims that this particular disease “is a classic case where animal models are not working, and there have been probably close to 20 drugs go into human trials that have not worked but had previously been successful in animals.”
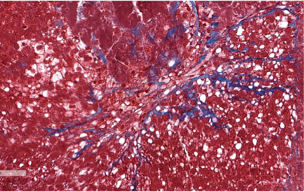
Viscient’s bioprinted NASH model imitates the disease in humans very accurately. In fact, Viscient’s model matches the liver biopsy from a patient with fatty liver disease NASH. In NASH, the fat that builds up in the liver and collagen is a marker of fibrosis, so the bioprinted tissue actually reflects the fatty droplets and collagen fibers seen in the patient tissue biopsy. Under the microscope, the two tissues look very similar, and hard to distinguish them for the untrained eye.
“We think we are discovering the next step in drug development. These new 3D cell cultures can be more predictive than animal models. It’s still going to take some time to develop our own drug, but we can speed things up by partnering with established pharma companies. And considering that we have multiple targets, we can run multiple programs. At this stage, there is a big funnel with a broad range of targets that could work or not,” revealed Murphy. “However, I think that our success rates are going to be higher than traditional methods once we get into the clinical phase, but that doesn’t mean that there might be a few surprises on the way that could delay our plans.”
Murphy recently revealed that Viscient will turn its attention to 3D bioprinting lung tissue for infectivity research to assist global efforts to combat SARS-CoV-2, the novel coronavirus that causes COVID-19.
“What we know broadly speaking, is that infectivity – that is, the ability for a virus to get inside a tissue – is higher using 3D models. We haven’t worked extensively with lung cells yet, but we believe that we can make a really compelling model very quickly,” Murphy asserted. “We feel that we have this ability to model bioprinted tissue and that is what the Coronavirus response calls for. Furthermore, we wish to contribute to the global efforts with a model that we believe will help with the selection of the best therapeutics.”
Thanks to their bioprinted tissue models, Viscient expects to identify which patients benefit from each kind of drug being tested against COVID-19. Since drugs like chloroquine, hydroxychloroquine, the antiviral medication remdesivir, or the antiviral combination of lopinavir and ritonavir are all generic, Viscient can start working with academic and non-profit partners.
“There are researchers worldwide working on vaccines, and we can potentially help make sure that they are correctly getting inside the tissue, and training the immune system the right way,” he went on. “We are working fast, but it takes some time to build these models, somewhere between four and six months. For now, our biggest challenge is the testing turn-around time.”
In spite of the current situation that has hundreds of countries and companies under lockdown, Viscient researchers are continuing work under safe operating conditions. For now, Murphy and Miner are restarting lab operations to work on their lung tissue program and will soon continue focusing their efforts on NASH, but they have a lot more ideas for the future and one thing is for sure, they expect to continue working with bioprinted tissue.
